Enviado por CardenalCisneros el Vie, 17/03/2023 - 12:26

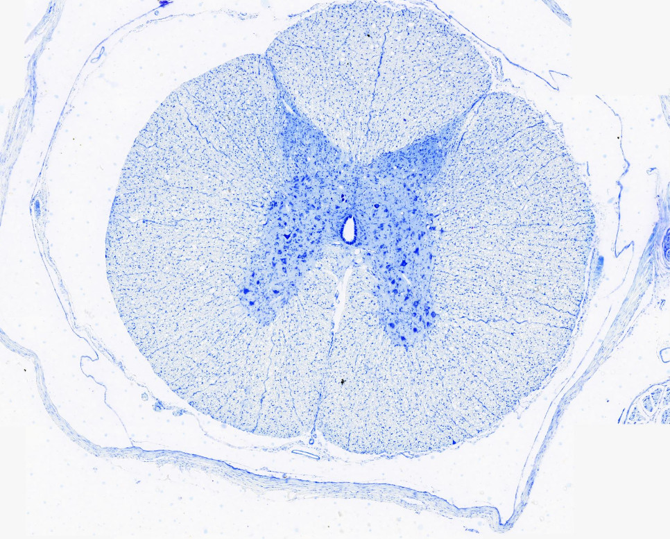
La tinción con el colorante azul de toluidina

Se puede usar para conseguir tinciones rápidas de tejidos animales. Es muy fácil de preparar y el tiempo de tinción es muy corto. Además, produce una reacción metacromática, es decir, es capaz de dar color diferente a diferentes estructuras. El color va desde verde brillante hasta púrpura, pasando por una gama de azules.

Nivel educativo
Area de conocimiento
Imagen
Autor
IES CARDENAL CISNEROS
Número de stand
5H09