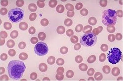
Diagnóstico diferencial de enfermedades de la serie blanca Jornadas de puertas abiertas y visitas guiadas ◄Atrás Plazas disponibles Fechas y horario Jue, 6 Nov 2025 de 08:30 a 11:30 Vie, 7 Nov 2025 de 08:30 a 14:30 📅 Añadir a mi calendario Lugar Actividad presencial Laboratorio A004, planta 0, edificio A - Facultad de Farmacia. Universidad CEU San Pablo. Crta. Boadilla del monte, Km 5,3. Enlace google maps: https://goo.gl/maps/a9K1AZGWWjkWrwM16 Disciplinas Biología molecular, celular y genética Público al que va dirigido 1-2 ESO 3-4 ESO Grupos organizados Correo de información maría.sanchezalonso@ceu.es Descripción Identificación de enfermedades hematológicas a través de la visualización microscópica de las células sanguíneas Organiza Química y Bioquímica / Facultad de Farmacia / Universidad CEU San Pablo Reserva de plazas necesaria a partir del 20 de octubre a las 09:00 Métodos de reserva Email: maría.sanchezalonso@ceu.es Tfno: 913724700 ext 15209/ 913724700 ext 14837