Skip to main content
Home
  • ESPAÑOL
  • ENGLISH
Main menu
  • Foundation
    • A place for education, science and innovation
    • Who we are
    • Newsroom
    • Awards madri+d
    • Premios de Ciencia en Español
    • Publications madri+d
    • Contractor Portal
    • Compendio legislativo
    • Formación
    • Contacto
    • Tablón de Anuncios
    • Panorama de la innovación por sectores y tecnologías
  • University Quality Assurance
    • To guarantee the quality of university education in the Community of Madrid
    • About us
    • Evaluation, Acreditation and Verification
    • Evaluación, Acreditación y Verificación de Centros Universitarios
    • Comité de garantías y reclamaciones
    • Buscador de títulos
    • Banco de evaluadores
    • ENQA Evaluation
    • Análisis Temático
    • CUALIFICAM
    • Sello Sofía
    • Buzón de Quejas, Sugerencias y Felicitaciones
  • Entrepreneurs
    • We help you to undertake from science and technology
    • About us
    • Startup Radar madri+d
    • BAN madri+d
    • Madri+d Mentoring Network
    • ESA BIC Madrid Region
    • healthStart madri+d
    • Business Mentor madri+d
    • Studies
    • healthstartPlus
    • Deeptech Madrid
    • Govtechlab Madrid
    • Innodays/Innobares
  • CITT
    • Clústeres público-privados de Innovación Tecnológica y Talento de la Comunidad de Madrid
    • Presentación CITT
    • CITT en Semiconductores
    • CITT en Humanidades Digitales y Tecnologías del Español
    • CITT en Tecnologías Biomédicas y Biotecnología
    • CITT en Tecnologías del Espacio
  • Europe
    • Researching locally to compete globally
    • Presentación
    • Horizonte Europa
    • Marie Sklodowska-Curie Actions
    • European Research Council
    • EIC
    • EEN SCALEUP 2025/2026
    • Enterprise Europe Network
    • Innovación
    • madri+d Foundation Projects
  • Scientific-Culture
    • Promoting scientific culture and innovation in society through active participation
    • Feria Madrid es Ciencia
    • Día Internacional de las Mujeres y las Niñas en la Ciencia
    • Madrid Science Week
    • European Researchers' Night
    • Red de Laboratorios Ciudadanos
    • Wikipedia madri+d
    • Science & Culture
    • Science & Heritage
    • Cátedra del Español y la Hispanidad de las universidades de la Comunidad de Madrid
  • Notiweb
    • El resumen de noticias de I+D+I de referencia en español
    • Portada
    • Noticias
    • Inverosímiles
    • Analisis
    • Entrevistas
    • Blogs
    • Agenda
    • Reseñas
    • Magazine
    • Mentes Críticas
  • Transparency
    • Transparency portal
    • Institutional information
    • Legal Information
    • Economic and Statistical Information
    • Proteccion de Datos Personales
    • Canal Ético

Secondary breadcrumb

 

Breadcrumb

  1. Inicio
  2. Noticias
Main menu
Noticias RSS

China desvela de qué está hecha la cara oculta de la Luna

28.02.2020
El ‘Yutu-2’ obtiene las imágenes de radar más precisas del interior lunar hasta la fecha

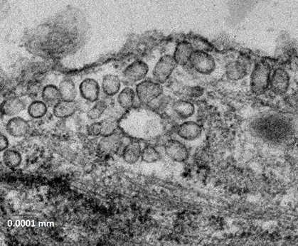
No sólo de fotosíntesis viven las cianobacterias marinas

28.02.2020
Las cianobacterias marinas son organismos unicelulares que colonizaron los océanos hace millones de años

El aumento de peso en la edad adulta se relaciona con un mayor declive de la función pulmonar

28.02.2020
Con el paso de los años, la función pulmonar de las personas disminuye de forma natural

El satélite español Ingenio de observación de la Tierra se lanzará en junio

28.02.2020
Este nuevo satélite óptico, operado por el Instituto Nacional de Técnica Aeroespacial y proporcionará imágenes de alta resolución

La Universidad CEU San Pablo coordinará un proyecto que estudiará biomarcadores de las alergias más comunes

28.02.2020
Los investigadores pretenden contribuir al desarrollo de diagnósticos y estrategias de intervención más eficientes en alergias

Los humanos sobrevivieron a una de las mayores erupciones volcánicas de su historia

28.02.2020
Según la teoría de la catástrofe de Toba, hace unos 74.000 años, un supervolcán en ese lago de la isla de Sumatra entró en erupción

“En el momento en que se visibilizan las enfermedades raras, surge la investigación”

28.02.2020
Entrevista a Rubén Miranda García y Luis Miguel García Moreno, investigadores del Comportamiento de la Universidad Complutense de Madrid con motivo del Día Mundial de las Enfermedades Raras

El análisis paleobiológico de un fósil de renacuajo revela las causas de su muerte

28.02.2020
Descubrir fósiles de renacuajos es poco habitual, el de este estudio se encontró en excelente estado de conservación

Si confías en internet, eres vulnerable

27.02.2020
El exceso de confianza está detrás de muchos de los fraudes de los que somos víctimas a través de internet, a pesar de las medidas de seguridad que tomemos

Localizan nuevos marcadores para el diagnóstico y pronóstico del cáncer de pulmón

27.02.2020
Científicos españoles han identificado algunas regiones repetitivas que en todos los pacientes y en todos los tipos de cáncer de pulmón estudiados tienen el mismo comportamiento

Pagination

  • First page « primera
  • Previous page ‹ anterior
  • …
  • Page 748
  • Page 749
  • Page 750
  • Page 751
  • Current page 752
  • Page 753
  • Page 754
  • Page 755
  • Page 756
  • …
  • Next page siguiente ›
  • Last page última »
Resultados del 7511 al 7520 de 13959
  • Foundation
    • Who we are
    • Newsroom
    • Awards madri+d
    • Premios de Ciencia en Español
    • Publications madri+d
    • Contractor Portal
    • Compendio legislativo
    • Formación
    • Contacto
    • Tablón de Anuncios
    • Panorama de la innovación por sectores y tecnologías
  • University Quality Assurance
    • About us
    • Evaluation, Acreditation and Verification
    • Evaluación, Acreditación y Verificación de Centros Universitarios
    • Comité de garantías y reclamaciones
    • Buscador de títulos
    • Banco de evaluadores
    • ENQA Evaluation
    • Análisis Temático
    • CUALIFICAM
    • Sello Sofía
    • Buzón de Quejas, Sugerencias y Felicitaciones
  • Entrepreneurs
    • About us
    • Startup Radar madri+d
    • BAN madri+d
    • Madri+d Mentoring Network
    • ESA BIC Madrid Region
    • healthStart madri+d
    • Business Mentor madri+d
    • Studies
    • healthstartPlus
    • Deeptech Madrid
    • Govtechlab Madrid
    • Innodays/Innobares
  • CITT
    • Presentación CITT
    • CITT en Semiconductores
    • CITT en Humanidades Digitales y Tecnologías del Español
    • CITT en Tecnologías Biomédicas y Biotecnología
    • CITT en Tecnologías del Espacio
  • Europe
    • Presentación
    • Horizonte Europa
    • Marie Sklodowska-Curie Actions
    • European Research Council
    • EIC
    • Enterprise Europe Network
    • EEN SCALEUP 2025/2026
    • Innovación
    • madri+d Foundation Projects
  • Scientific-Culture
    • Feria Madrid es Ciencia
    • Día Internacional de las Mujeres y las Niñas en la Ciencia
    • Madrid Science Week
    • European Researchers' Night
    • Red de Laboratorios Ciudadanos
    • Wikipedia madri+d
    • Science & Culture
    • Science & Heritage
    • Cátedra del Español y la Hispanidad de las universidades de la Comunidad de Madrid
  • Notiweb
    • Portada
    • Noticias
    • Inverosímiles
    • Analisis
    • Entrevistas
    • Blogs
    • Agenda
    • Reseñas
    • Magazine
    • Mentes Críticas
  • Transparency
    • Institutional information
    • Legal Information
    • Economic and Statistical Information
    • Proteccion de Datos Personales
    • Canal Ético
  • Footer
    • Canal Ético
    • eduroam
    • Mapa Web
    • Política privacidad
    • Política de cookies
    • Aviso legal