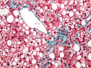
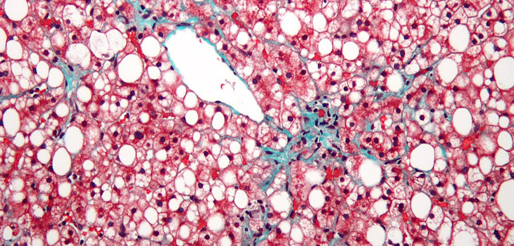
Descubierto un nuevo mecanismo para atenuar los efectos de la enfermedad de hígado graso 17.10.2018 GRK2 podría ser una nueva diana terapéutica frente a la enfermedad de hígado graso.
Nuevo avance para conseguir células solares orgánicas eficientes 17.10.2018 Logran aumentar en un 10% la eficiencia de moléculas orgánicas destinadas a la fabricación de células fotovoltaicas.
España, el país con mayor esperanza de vida en 2040 17.10.2018 Los españoles tendrán una esperanza de vida de 85,8 años de edad en 2040, convirtiéndose así en el país con mayor esperanza de vida del mundo, según un estudio.
Investigadores españoles prueban con éxito un prototipo a escala de coche de hidrógeno que genera y almacena este gas de forma segura 17.10.2018 Desarrollan y prueban con éxito un prototipo a escala de coche que almacena y genera hidrógeno de forma segura y es capaz de utilizarlo como combustible.
El CSIC y el sector del olivar aúnan fuerzas para luchar contra la bacteria 'Xylella fastidiosa' 17.10.2018 El proyecto busca crear estrategias de erradicación, contención y control de esta bacteria en el olivo en España.
Así es la cámara más rápida del mundo: capaz de congelar el movimiento de la luz 17.10.2018 La primera vez que se usó, la cámara ultrarrápida pudo captar un solo pulso de láser de femtosegundo en tiempo real.
Descubren cómo se forma el sistema de navegación del cerebro 17.10.2018 Una nueva investigación ha descubierto cómo se forma el sistema de navegación del cerebro: unas neuronas se agrupan en forma de cuadrículas y forman un patrón geográfico de cada espacio que nos permite recordarlo cada vez que lo visitamos.
El Patrimonio Mundial del Mediterráneo, en riesgo por inundaciones y erosión 17.10.2018 La ciudad de Venecia, la Piazza del Duomo de Pisa (Italia) o la Ciudad Medieval de Rodas en Grecia son algunos de los lugares declarados como Patrimonio Mundial Cultural de la UNESCO que estarán en riesgo de desaparecer por el aumento del nivel del mar en las próximas décadas.
Disponible la Memoria de Actividades de la Fundación para el Conocimiento madri+d 2017 16.10.2018 Cualquier ciudadano interesado en conocer el trabajo realizado por la Fundación durante el año pasado puede acceder al documento publicado en la web a través del enlace <a href="http://www.madrimasd.org/fundacion/quienes-somos/memoria-anual" title="Memoria de actividades relativa al año 2017" alt="Memoria de actividades relativa al año 2017" target="_blank">www.madrimasd.org/fundacion/quienes-somos/memoria-anual</a>.
Un fármaco en ciernes para reducir la recidiva de cáncer de mama y mejorar su tratamiento 16.10.2018 Un equipo de científicos ha dado con una estrategia terapéutica con la que tratar una forma muy agresiva de cáncer de mama.