Skip to main content
Home
  • ESPAÑOL
  • ENGLISH
Main menu
  • Foundation
    • A place for education, science and innovation
    • Who we are
    • Newsroom
    • Awards madri+d
    • Premios de Ciencia en Español
    • Publications madri+d
    • Contractor Portal
    • Compendio legislativo
    • Formación
    • Contacto
    • Tablón de Anuncios
  • University Quality Assurance
    • To guarantee the quality of university education in the Community of Madrid
    • About us
    • Evaluation, Acreditation and Verification
    • Evaluación, Acreditación y Verificación de Centros Universitarios
    • Comité de garantías y reclamaciones
    • Buscador de títulos
    • Banco de evaluadores
    • ENQA Evaluation
    • Análisis Temático
    • CUALIFICAM
    • Sello Sofía
    • Buzón de Quejas, Sugerencias y Felicitaciones
  • Entrepreneurs
    • We help you to undertake from science and technology
    • About us
    • Startup Radar madri+d
    • BAN madri+d
    • Madri+d Mentoring Network
    • ESA BIC Madrid Region
    • healthStart madri+d
    • Business Mentor madri+d
    • Studies
    • healthstartPlus
    • Deeptech Madrid
    • Govtechlab Madrid
    • Innodays/Innobares
  • CITT
    • Clústeres público-privados de Innovación Tecnológica y Talento de la Comunidad de Madrid
    • Presentación CITT
    • CITT en Semiconductores
    • CITT en Humanidades Digitales y Tecnologías del Español
    • CITT en Tecnologías Biomédicas y Biotecnología
    • CITT en Tecnologías del Espacio
  • Europe
    • Researching locally to compete globally
    • Presentación
    • Horizonte Europa
    • Marie Sklodowska-Curie Actions
    • European Research Council
    • EIC
    • EEN SCALEUP 2025/2026
    • Enterprise Europe Network
    • Innovación
    • madri+d Foundation Projects
  • Scientific-Culture
    • Promoting scientific culture and innovation in society through active participation
    • Presentación
    • Feria Madrid es Ciencia
    • Día Internacional de las Mujeres y las Niñas en la Ciencia
    • Madrid Science Week
    • European Researchers' Night
    • Red de Laboratorios Ciudadanos
    • Wikipedia madri+d
    • Science & Culture
    • Science & Heritage
    • Cátedra del Español y la Hispanidad de las universidades de la Comunidad de Madrid
  • Notiweb
    • El resumen de noticias de I+D+I de referencia en español
    • Portada
    • Noticias
    • Analisis
    • Entrevistas
    • Blogs
    • Agenda
    • Reseñas
    • Magazine
    • Hemeroteca Magazine
    • Mentes Críticas
    • Hemeroteca Mentes Críticas
  • Transparency
    • Transparency portal
    • Institutional information
    • Legal Information
    • Economic and Statistical Information
    • Proteccion de Datos Personales
    • Canal Ético

Secondary breadcrumb

Breadcrumb

  1. Inicio
  2. Noticias
Main menu
Noticias RSS
Estructura de la proteína LRRK2. / Pleiotrope (WIKIMEDIA)

El importante papel de una proteína en la enfermedad de Parkinson

31.07.2018
Ya se sabía que una serie de alteraciones en el gen LRRK2 tiene relación con alrededor del 3 por ciento de los casos de Mal de Parkinson.
Moléculas radioactivas en los restos de una colisión estelar. / ALMA (ESO/NAOJ/NRAO), T. Kamiński; Gemini, NOAO/AURA/NSF; NRAO/AUI/NSF, B. Saxton

Un cadáver estelar revela el origen de moléculas radioactivas

31.07.2018
Observaciones llevadas a cabo con ALMA detectan el isótopo radioactivo aluminio-26 de la remanente CK Vulpeculae.
Un caso de canibalismo galáctico en el vecindario de la Vía Láctea

Un caso de canibalismo galáctico en el vecindario de la Vía Láctea

31.07.2018
Un grupo de astrónomos descubre lo que parecen los restos de una gran colisión entre una galaxia que ya no existe y Andrómeda.
"La comunicación entre la investigación básica y la clínica es compleja"

"La comunicación entre la investigación básica y la clínica es compleja"

31.07.2018
Entrevista a Bertie Göttgens. Investigador en el <a href="https://www.stemcells.cam.ac.uk/" title="Cambridge Stem Cell Institute" alt="Cambridge Stem Cell Institute" target="_blank">Cambridge Stem Cell Institute</a> (SCI).
El agua, "pilar fundamental" en época romana y prerromana en la península ibérica

El agua, "pilar fundamental" en época romana y prerromana en la península ibérica

31.07.2018
El agua era "un pilar fundamental" en la cultura y sociedad romanas, aunque ya se utilizaba en la península ibérica con funciones medicinales además de religiosas antes de la llegada de las legiones, ha explicado a Efe la decana de la Facultad de Geografía e Historia de la UNED, María Jesús Peréx Agorreta.
Nueva apuesta de la Fundación madri+d por la divulgación de la ciencia en la Radio

Nueva apuesta de la Fundación madri+d por la divulgación de la ciencia en la Radio

30.07.2018
La <a href="http://www.madrimasd.org" title="Fundación para el Conocimiento madri+d" alt="Fundación para el Conocimiento madri+d">Fundación para el Conocimiento madri+d</a> en su búsqueda de nuevos públicos para acercarlos a la ciencia ha iniciado una nueva andadura de divulgación en la Radio.
Vista parcial de HRSC del Polo Sur marciano, donde OMEGA encontró agua helada. / ESA/DLR/FU Berlin, CC BY-SA 3.0 IGO

"Los lagos de Marte son un refugio para la vida"

30.07.2018
Los organismos han podido evolucionar muchas veces en diversos lugares del Sistema Solar, según los expertos.
El convertidor olamotriz Oyster, utilizado para el estudio. / Alain Ulazia. UPV/EHU.

Cómo optimizar los convertidores de energía olamotriz

30.07.2018
Los convertidores de energía olamotriz, la que se genera por el movimiento de las olas del mar, no están adaptados al aumento de energía registrado en el último siglo.
Día Mundial contra la Hepatitis: el objetivo es acabar con ella en 2030, ¿habrá vacuna?

Día Mundial contra la Hepatitis: el objetivo es acabar con ella en 2030, ¿habrá vacuna?

30.07.2018
Las consecuencias de las heptitis B y C afectan a 325 millones de personas al año de los que 1,34 millones acaban falleciendo por estas causas.
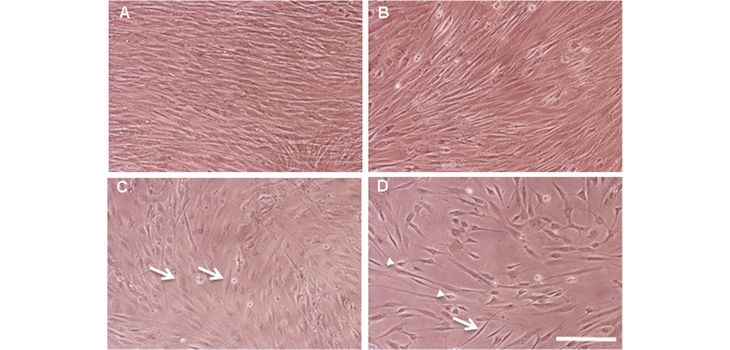
Cultivos de fibroblastos humanos/Durán et al 2018

Nuevos pasos para obtener células humanas capaces de restaurar la audición

30.07.2018
Intentan obtener, a partir de fibroblastos humanos, células humanas similares a las células ciliadas con el fin último de que, algún día, puedan llegar a reemplazarlas y devolver la audición.

Pagination

  • First page « primera
  • Previous page ‹ anterior
  • …
  • Page 1049
  • Page 1050
  • Page 1051
  • Page 1052
  • Current page 1053
  • Page 1054
  • Page 1055
  • Page 1056
  • Page 1057
  • …
  • Next page siguiente ›
  • Last page última »
Resultados del 10521 al 10530 de 13549
  • Foundation
    • Who we are
    • Newsroom
    • Awards madri+d
    • Premios de Ciencia en Español
    • Publications madri+d
    • Contractor Portal
    • Compendio legislativo
    • Formación
    • Contacto
    • Tablón de Anuncios
  • University Quality Assurance
    • About us
    • Evaluation, Acreditation and Verification
    • Evaluación, Acreditación y Verificación de Centros Universitarios
    • Comité de garantías y reclamaciones
    • Buscador de títulos
    • Banco de evaluadores
    • ENQA Evaluation
    • Análisis Temático
    • CUALIFICAM
    • Sello Sofía
    • Buzón de Quejas, Sugerencias y Felicitaciones
  • Entrepreneurs
    • About us
    • Startup Radar madri+d
    • BAN madri+d
    • Madri+d Mentoring Network
    • ESA BIC Madrid Region
    • healthStart madri+d
    • Business Mentor madri+d
    • Studies
    • healthstartPlus
    • Deeptech Madrid
    • Govtechlab Madrid
    • Innodays/Innobares
  • CITT
    • Presentación CITT
    • CITT en Semiconductores
    • CITT en Humanidades Digitales y Tecnologías del Español
    • CITT en Tecnologías Biomédicas y Biotecnología
    • CITT en Tecnologías del Espacio
  • Europe
    • Presentación
    • Horizonte Europa
    • Marie Sklodowska-Curie Actions
    • European Research Council
    • EIC
    • Enterprise Europe Network
    • EEN SCALEUP 2025/2026
    • Innovación
    • madri+d Foundation Projects
  • Scientific-Culture
    • Presentación
    • Feria Madrid es Ciencia
    • Día Internacional de las Mujeres y las Niñas en la Ciencia
    • Madrid Science Week
    • European Researchers' Night
    • Red de Laboratorios Ciudadanos
    • Wikipedia madri+d
    • Science & Culture
    • Science & Heritage
    • Cátedra del Español y la Hispanidad de las universidades de la Comunidad de Madrid
  • Notiweb
    • Portada
    • Noticias
    • Analisis
    • Entrevistas
    • Blogs
    • Agenda
    • Reseñas
    • Magazine
    • Hemeroteca Magazine
    • Mentes Críticas
    • Hemeroteca Mentes Críticas
  • Transparency
    • Institutional information
    • Legal Information
    • Economic and Statistical Information
    • Proteccion de Datos Personales
    • Canal Ético
  • Footer
    • Canal Ético
    • eduroam
    • Mapa Web
    • Política privacidad
    • Política de cookies
    • Aviso legal