Fecha

Menos infecciones, más alergias: así influye en la salud la evolución de nuestras defensas

Algunas de las adaptaciones evolutivas que nos permiten evitar contagios mortales también nos hacen más vulnerables a patologías inflamatorias y autoinmunes, afirma un nuevo estudio

Nuestra adaptación durante la evolución y nuestros orígenes influyen en la probabilidad de los seres humanos de tener determinadas enfermedades infecciosas como malaria o VIH. Así concluye un nueva revisión de estudios, publicada esta semana en la revista Trends in Immunology.

El trabajo, liderado por el español Jorge Domínguez-Andrés, investigador posdoctoral en el Instituto Radboud para las Ciencias Moleculares de la Vida en los Países Bajos, también subraya cómo el sistema inmunitario humano continúa evolucionando dependiendo de la ubicación o estilo de vida de la persona.

“La evolución humana, las migraciones y la adaptación que nuestros antepasados tuvieron a su entorno (distintos patógenos, clima, nutrición, etc), dejaron su huella en nuestros genes. Hoy en día, esta impronta genética nos hace más o menos susceptibles a distintas enfermedades”, explica a Sinc Domínguez-Andrés.

Es decir, las adaptaciones evolutivas que permiten ser más resistentes a patologías infecciosas también pueden hacer que seamos más susceptibles a sufrir alergias o enfermedades de tipo autoinmune. “Ahora que vivimos mucho más tiempo, podemos ver las consecuencias de las infecciones que pasaron nuestros ancestros”, añade.

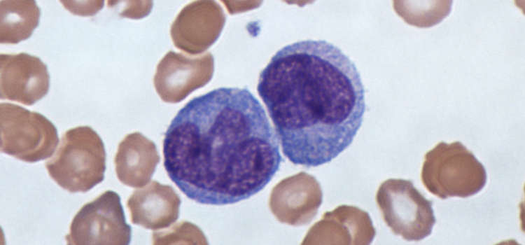
Una de las mejores defensas del cuerpo contra las enfermedades infecciosas es la inflamación. Domínguez-Andrés y el autor principal Mihai Netea, inmunólogo del mismo centro, identificaron cómo se alteró el ADN de personas de diferentes comunidades comúnmente infectadas con enfermedades bacterianas o virales, lo que producía la posterior inflamación.

Aunque estos cambios hicieron más difícil que ciertos patógenos infectaran a estas comunidades, también se asociaron con la aparición, con el paso del tiempo, de nuevas enfermedades inflamatorias como la enfermedad de Crohn, lupus y la enfermedad intestinal inflamatoria.

“Parece que hay un equilibrio. Los seres humanos evolucionamos para construir defensas contra las enfermedades, pero no somos capaces de evitar que ocurran. El beneficio que obtenemos, por un lado, también nos hace más sensibles a las nuevas patologías”, indica Domínguez-Andrés.

“Hoy en día estamos sufriendo o beneficiándonos de las defensas incorporadas a nuestro ADN por el sistema inmunitario de nuestros ancestros, combatiendo infecciones o acostumbrándonos a nuevos estilos de vida”, puntualiza.

Efectos de estos cambios

En el actual escenario de globalización mundial, los flujos migratorios y la mezcla de diferentes poblaciones están alcanzando niveles sin precedentes, permitiendo una expansión más rápida de adaptaciones genéticas favorables.

“Sin embargo, estos procesos también pueden acelerar la propagación de nuevas epidemias, como se observó en el rápido aumento de los casos de infección por VIH en los años 80 y 90”, analiza Domínguez-Andrés.

“Lo mismo ha ocurrido más recientemente con los virus SARS-CoV, ébola y chikungunya, y también con la aparición de bacterias y hongos multirresistentes, como en el caso de Staphylococcus aureus resistente a meticilina o Candida auris”, añade. 

Igualmente, los autores resaltan cómo los antepasados primitivos de los euroasiáticos vivían en regiones todavía habitadas por neandertales y especies ‘híbridas’. Se ha visto que las personas con restos de ADN neandertal pueden ser más resistentes contra el VIH-1 e infecciones por estafilococo, pero más propensas a alergias, asma y fiebre del heno.

Otro ejemplo es el parásito de la malaria, Plasmodium sp., que ha infectado a las poblaciones africanas durante millones de años. Debido a esto, los procesos evolutivos han seleccionado personas con ADN que favorece la resistencia a las infecciones al provocar mayor inflamación en el cuerpo.

No obstante, para los autores esto también ha contribuido a hacer que los africanos modernos sean propensos a desarrollar enfermedades cardiovasculares, como la aterosclerosis.

El papel de una sociedad ‘higiénica’

Las nuevas secuenciaciones de ADN están revelando cómo nuestros sistemas inmunitarios evolucionan en tiempo real debido a los cambios en el estilo de vida moderno.

Así, las tribus africanas que aún se dedican a la caza tienen una mayor diversidad de flora bacteriana que los afroamericanos urbanizados que comen alimentos comprados en tiendas.

Además, a medida que los seres humanos avanzan hacia alimentos procesados y estándares de higiene más estrictos, sus cuerpos se adaptan desarrollando lo que los investigadores llaman ‘enfermedades de la civilización’, como la diabetes tipo 2.

En el futuro, los autores ampliarán sus investigaciones a otras comunidades. “Este estudio analizará las consecuencias funcionales de los procesos evolutivos en la inmunidad humana y facilitará el diseño de terapias más eficaces y adaptadas a las distintas características particulares de cada población”, afirma Domínguez-Andrés.


Referencia bibliográfica:

Jorge Dominguez-Andres et al.: Impact of historic migrations and evolutionary processes on human immunity. Trends in Immunologyhttps://www.cell.com/trends/immunology/fulltext/S1471-4906(19)30210-8 

Add new comment

The content of this field is kept private and will not be shown publicly.
Para el envío de comentarios, Ud. deberá rellenar todos los campos solicitados. Así mismo, le informamos que su nombre aparecerá publicado junto con su comentario, por lo que en caso que no quiera que se publique, le sugerimos introduzca un alias.

Normas de uso:

  • Las opiniones vertidas serán responsabilidad de su autor y en ningún caso de www.madrimasd.org,
  • No se admitirán comentarios contrarios a las leyes españolas o buen uso.
  • El administrador podrá eliminar comentarios no apropiados, intentando respetar siempre el derecho a la libertad de expresión.
CAPTCHA
Enter the characters shown in the image.
Esta pregunta es para probar si usted es un visitante humano o no y para evitar envíos automáticos de spam.