Skip to main content
Home
  • ESPAÑOL
  • ENGLISH
Main menu
  • Foundation
    • A place for education, science and innovation
    • Who we are
    • Newsroom
    • Awards madri+d
    • Premios de Ciencia en Español
    • Publications madri+d
    • Contractor Portal
    • Compendio legislativo
    • Formación
    • Contacto
    • Tablón de Anuncios
    • Panorama de la innovación por sectores y tecnologías
  • University Quality Assurance
    • To guarantee the quality of university education in the Community of Madrid
    • About us
    • Evaluation, Acreditation and Verification
    • Evaluación, Acreditación y Verificación de Centros Universitarios
    • Comité de garantías y reclamaciones
    • Buscador de títulos
    • Banco de evaluadores
    • ENQA Evaluation
    • Análisis Temático
    • CUALIFICAM
    • Sello Sofía
    • Buzón de Quejas, Sugerencias y Felicitaciones
  • Entrepreneurs
    • We help you to undertake from science and technology
    • About us
    • Startup Radar madri+d
    • BAN madri+d
    • Madri+d Mentoring Network
    • ESA BIC Madrid Region
    • healthStart madri+d
    • Business Mentor madri+d
    • Studies
    • healthstartPlus
    • Deeptech Madrid
    • Govtechlab Madrid
    • Innodays/Innobares
  • CITT
    • Clústeres público-privados de Innovación Tecnológica y Talento de la Comunidad de Madrid
    • Presentación CITT
    • CITT en Semiconductores
    • CITT en Humanidades Digitales y Tecnologías del Español
    • CITT en Tecnologías Biomédicas y Biotecnología
    • CITT en Tecnologías del Espacio
  • Europe
    • Researching locally to compete globally
    • Presentación
    • Horizonte Europa
    • Marie Sklodowska-Curie Actions
    • European Research Council
    • EIC
    • EEN SCALEUP 2025/2026
    • Enterprise Europe Network
    • Innovación
    • madri+d Foundation Projects
  • Scientific-Culture
    • Promoting scientific culture and innovation in society through active participation
    • Feria Madrid es Ciencia
    • Día Internacional de las Mujeres y las Niñas en la Ciencia
    • Madrid Science Week
    • European Researchers' Night
    • Red de Laboratorios Ciudadanos
    • Wikipedia madri+d
    • Science & Culture
    • Science & Heritage
    • Cátedra del Español y la Hispanidad de las universidades de la Comunidad de Madrid
  • Notiweb
    • El resumen de noticias de I+D+I de referencia en español
    • Portada
    • Noticias
    • Inverosímiles
    • Analisis
    • Entrevistas
    • Blogs
    • Agenda
    • Reseñas
    • Magazine
    • Mentes Críticas
  • Transparency
    • Transparency portal
    • Institutional information
    • Legal Information
    • Economic and Statistical Information
    • Proteccion de Datos Personales
    • Canal Ético

Secondary breadcrumb

 

Breadcrumb

  1. Inicio
  2. Noticias
Main menu
Noticias RSS

El secreto de los combustibles renovables mediante energía solar

23.07.2020
Los catalizadores hechos de óxido de cobre son superiores a los catalizadores de origen puramente metálico cuando se trata de producir etileno, un gas de dos carbonos con una enorme gama de aplicaciones industriales

Urge una profunda transformación en la atención en salud mental tras la pandemia, según un estudio

23.07.2020
Será preciso potenciar la telepsiquiatría y la atención domiciliaria, concluye una investigación internacional liderada por el Gregorio Marañón y publicada en "The Lancet Psychiatry"

Radiografía de los contagios de coronavirus: el 40% tiene menos de 40 años y la mayoría no sabe dónde se ha infectado

23.07.2020
Uno de cada cuatro se contagió en el domicilio, pero en un 37% de casos se desconoce dónde pudo exponerse

La inteligencia artificial que lleva a otro nivel el subtitulado automático en informativos de TV o conferencias

23.07.2020
El grupo de investigación SoftLab de la Universidad Carlos III desarrolla un software que subtitula en directo los telediarios de RTVE en 10 centros territoriales. Tecnología machine learning hace que el sistema mejore cada día

Solución para los dispositivos con pocos recursos que operan en la IoT

23.07.2020
Un trabajo resuelve los problemas en el control de accesos a servicios en la nube de dispositivos con poca capacidad de memoria o batería mediante la delegación de autorización de otro dispositivo

Los cóndores pueden volar 160 km sin batir las alas

23.07.2020
El 75 por ciento de todos los aleteos se producen cuando el cóndor estaba despegando

Una nueva herramienta CRISPR ultracompacta revela el primer virus con antivirus

22.07.2020
El equipo de la investigadora Jennifer Doudna ha encontrado una nueva nucleasa Cas mucho más pequeña y versátil allí donde menos cabía esperar: en un virus

La expansión del Imperio romano coincidió con el período más cálido del Mediterráneo en los últimos 2.000 años

22.07.2020
Las condiciones climatológicas derivaron progresivamente hacia condiciones más áridas y finalmente más frías coincidiendo con el declive histórico del gran imperio

Venus tiene un Cinturón de Fuego como el de la Tierra

22.07.2020
Venus es un planeta geológicamente activo: tiene un Cinturón de Fuego como el de la Tierra con al menos 37 estructuras volcánicas candentes

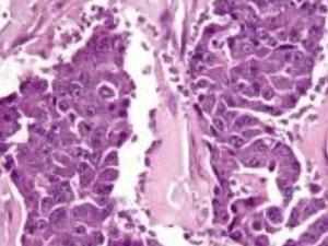
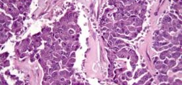
Un análisis de sangre experimental alerta del cáncer cuatro años antes

22.07.2020
Un estudio preliminar hecho en China y EE UU acerca la posibilidad de detectar tumores en una fase muy inicial

Pagination

  • First page « primera
  • Previous page ‹ anterior
  • …
  • Page 657
  • Page 658
  • Page 659
  • Page 660
  • Current page 661
  • Page 662
  • Page 663
  • Page 664
  • Page 665
  • …
  • Next page siguiente ›
  • Last page última »
Resultados del 6601 al 6610 de 13959
  • Foundation
    • Who we are
    • Newsroom
    • Awards madri+d
    • Premios de Ciencia en Español
    • Publications madri+d
    • Contractor Portal
    • Compendio legislativo
    • Formación
    • Contacto
    • Tablón de Anuncios
    • Panorama de la innovación por sectores y tecnologías
  • University Quality Assurance
    • About us
    • Evaluation, Acreditation and Verification
    • Evaluación, Acreditación y Verificación de Centros Universitarios
    • Comité de garantías y reclamaciones
    • Buscador de títulos
    • Banco de evaluadores
    • ENQA Evaluation
    • Análisis Temático
    • CUALIFICAM
    • Sello Sofía
    • Buzón de Quejas, Sugerencias y Felicitaciones
  • Entrepreneurs
    • About us
    • Startup Radar madri+d
    • BAN madri+d
    • Madri+d Mentoring Network
    • ESA BIC Madrid Region
    • healthStart madri+d
    • Business Mentor madri+d
    • Studies
    • healthstartPlus
    • Deeptech Madrid
    • Govtechlab Madrid
    • Innodays/Innobares
  • CITT
    • Presentación CITT
    • CITT en Semiconductores
    • CITT en Humanidades Digitales y Tecnologías del Español
    • CITT en Tecnologías Biomédicas y Biotecnología
    • CITT en Tecnologías del Espacio
  • Europe
    • Presentación
    • Horizonte Europa
    • Marie Sklodowska-Curie Actions
    • European Research Council
    • EIC
    • Enterprise Europe Network
    • EEN SCALEUP 2025/2026
    • Innovación
    • madri+d Foundation Projects
  • Scientific-Culture
    • Feria Madrid es Ciencia
    • Día Internacional de las Mujeres y las Niñas en la Ciencia
    • Madrid Science Week
    • European Researchers' Night
    • Red de Laboratorios Ciudadanos
    • Wikipedia madri+d
    • Science & Culture
    • Science & Heritage
    • Cátedra del Español y la Hispanidad de las universidades de la Comunidad de Madrid
  • Notiweb
    • Portada
    • Noticias
    • Inverosímiles
    • Analisis
    • Entrevistas
    • Blogs
    • Agenda
    • Reseñas
    • Magazine
    • Mentes Críticas
  • Transparency
    • Institutional information
    • Legal Information
    • Economic and Statistical Information
    • Proteccion de Datos Personales
    • Canal Ético
  • Footer
    • Canal Ético
    • eduroam
    • Mapa Web
    • Política privacidad
    • Política de cookies
    • Aviso legal