![]()
Coronavirus. COVID19 ¿Cuándo comenzó en China y llegó a Europa? ¿Cuánto tiempo lleva entre nosotros? ¿Cuántos fallecieron realmente en China?
¿Cuándo comenzó la pandemia de CoVid19? ¿Cuándo llegó a Europa? Según un preprint subido al servidor medRxiv a la espera de ser revisado por pares, el coronavirus SARS-CoV-2 ya había llegado a Barcelona en marzo del 2019, diez meses antes de lo que se sabía hasta ahora. Así lo demuestra el análisis de una muestra de agua obtenida de la depuradora del Prat de Llobregat el 12 de marzo del año pasado en la que se ha encontrado material genético del virus causante de la Covid. Según otros, el coronavirus puede haber estado presente y difundirse en Wuhan desde agosto del año de 2019. El primer caso de Francia es del 27 de Diciembre de 2019. Aunque el paciente no había salido de Francia su mujer trabaja en las proximidades del aeropuerto Charles de Gaulle. Sobre el inicio de la enfermedad algún estudio se basa en análisis de imágenes de satélite de los aparcamientos y tráfico hacia los hospitales, búsquedas de términos relacionados con CoVid19 en el buscador Baidu, otros en los casos de enfermos entre los militares que participaron en unos Juegos Militares celebrados en Octubre en Wuhan… Todo combinado con lo que vamos conociendo sobre la transparencia de China con respecto a las epidemias y su relación con la OMS, a las que aplican la máxima de la “ropa sucia se lava en casa” y que la culpa la tienen los extranjeros, arrojan algunas dudas sobre el desarrollo de la peor crisis sanitaria en los últimos 100 años solo comparable a la gripe del 18.
Primeros casos en Europa.
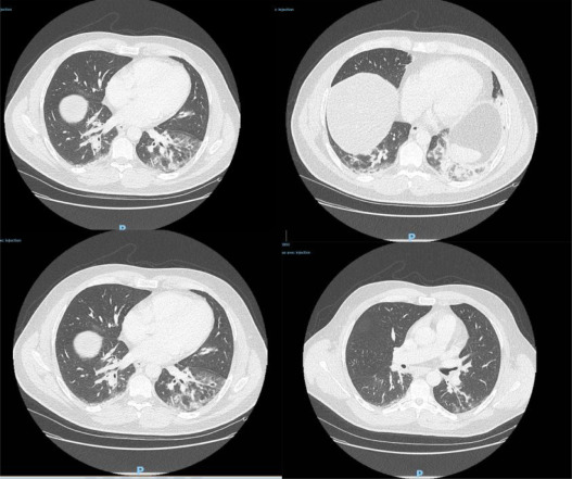
En el artículo “SARS-CoV-2 was already spreading in France in late December 2019” publicado en el “International Journal of Antimicrobial Agents”, los autores escriben que “La Organización Mundial de la Salud (OMS) declaró a COVID-19 una pandemia el 11 de marzo de 2020. Francia notificó los primeros casos de infección por SARS-CoV-2 el 24 de enero de 2020. Ambos casos tenían antecedentes de viajes a Wuhan, China . Hasta donde sabemos, se cree que estos dos casos son los primeros casos confirmados en Francia. COVID-19 se presenta más comúnmente con una enfermedad similar a la influenza (influenza-like illness, ILI). Mientras China se enfrentaba el brote de COVID-19, los países europeos estaban luchando contra la gripe (influenza) estacional. Dado que la sintomatología clínica de COVID-19 e ILI es similar, decidimos buscar retrospectivamente el SARS-CoV-2 en muestras respiratorias recolectadas en la unidad de cuidados intensivos (UCI) de nuestro hospital cerca de París, Francia.”
“Durante el período de estudio, 14 (24%) de 58 pacientes ingresados por ILI se incluyeron en el análisis actual. Una muestra tomada de un hombre desempleado de 42 años nacido en Argelia que había vivido en Francia durante muchos años fue positivo. Su último viaje al extranjero fue a Argelia en agosto de 2019. Uno de sus hijos se presentó con ILI antes del inicio de sus síntomas. Su historial médico incluía asma y diabetes mellitus tipo II. Se presentó a la sala de emergencias el 27 de diciembre de 2019 con hemoptisis, tos, dolor en el pecho, dolor de cabeza y fiebre, evolucionando durante 4 días. El examen inicial no fue notable y la tomografía computarizada (TC) de tórax reveló opacidades pulmonares bilaterales en los lóbulos inferiores”
“Aquí informamos una observación de un paciente infectado con SARS-CoV-2 1 mes antes de los primeros casos reportados en Francia. Al ingreso, el paciente presentaba signos clínicos y patrones radiológicos frecuentemente observados previamente en enfermos de China e Italia. La identificación del primer paciente infectado es de gran interés epidemiológico, ya que cambia drásticamente nuestro conocimiento sobre el SARS-CoV-2 y su propagación en el país. Además, la ausencia de un vínculo con China y la falta de viajes recientes al extranjero sugieren que la enfermedad ya se estaba extendiendo entre la población francesa a fines de diciembre de 2019.”
¿Por qué estaba circulando SARS Cov 2 causante de COVID 19 en Francia y probablemente en otros países europeos mucho antes de que fuesemos capaces de diferenciarlos de la gripe?
Algunos investigadores sugieren que el brote comenzó a principios de Noviembre de 2019. Aparentemente la cuarentena llegó tarde cuando el virus se había extendido a otras ciudades de China el 23 de enero. Probablemente China estaba exportando casos de coronavirus a través de otros centros de viaje como Shanghai, Beijing, Shenzhen, Guangzhou, y Kunming entre los más importantes.
Imagen de Coronavirus COVID-19 Global Risk Assessment
La enfermedad siguió extendiéndose a Japón y Corea del Sur porque aunque se prohibieron los viajes de Wuhan y Hubei los viajeros de otras ciudades de China podían seguir viajando.
Los modelos sugieren que la cuarentena de Wuhan retrasó el avance global de la epidemia como mucho 3 o 5 días. No hay evidencia sólida de que la prohibición de viajes sea eficaz. Sirven para retrasar pero no para contener las epidemias, unos días o unas semanas.
De hecho La Universitat de Barcelona ha analizado la presencia de Covid-19 en aguas residuales y ha comprobado que desde el pasado 15 de enero había restos del virus. Así lo ha reconocido Albert Bosch, presidente de la Sociedad Española de Virología y catedrático del Departamento de Microbiología de la UB, en el programa Vía Lliure de Rac 1.
“Hemos analizado la presencia del SARS en muestras antiguas y hemos encontrado que el virus ya estaba [desde la citada fecha]. Estamos hablando de cuarenta un días antes de la primera declaración de un caso que fue el 25 de febrero”.
Ya el 13 de marzo de 2020 EFE recogía lo siguiente: “El presidente de la Sociedad Española de Virología, Albert Bosch (catedrático del departamento de Microbiología de la Facultad de Biología de la UB), cree que el coronavirus SARS-CoV-2 «probablemente hace tiempo que circula entre nosotros enmascarado por la coincidencia con la temporada de gripe», porque, según ha asegurado a Efe, «hay una proporción demasiado elevada de casos asintomáticos como para ser un virus reciente«.
Bosch ha explicado que el nuevo coronavirus «tiene una transmisión demasiado optimizada entre seres humanos, un virus emergente suele ser más ineficiente en la transmisión hombre-hombre y suele dar también una patología más grave con pocas infecciones asintomáticas».
Artículo científico basado en búsquedas en internet e incremento de vehículos en los hospitales de Wuhan en Agosto.
El estudio, realizado por investigadores de la escuela de medicina de Harvard, la Universidad de Salud Pública de Boston y el hospital infantil de Boston, examinó imágenes capturadas entre enero de 2018 y abril de 2020 y encontró un «fuerte aumento» en el recuento de vehículos a partir de agosto de 2019, llegando a su punto máximo en diciembre de 2019. Entre septiembre y octubre, cinco de los seis hospitales observados tuvieron su mayor volumen diario de automóviles en el período analizado.
Muchos científicos están en desacuerdo con las conclusiones o las implicaciones de este trabajo.
Imágenes de satelite de un estacionamiento del hospital Wuhan Tianyou en octubre de 2018 (A) y octubre de 2019 (B). Fotografía: Universidad de Harvard
El Ministerio de Relaciones Exteriores de China rechazó el estudio, calificándolo de «extremadamente absurdo».
Según el estudio, el aumento en el volumen de vehículos coincidió con un aumento en las consultas en el motor de búsqueda chino Baidu para «tos» y «diarrea», aproximadamente tres semanas antes del aumento confirmado en los casos de coronavirus a principios de 2020. Los investigadores notaron que mientras Las consultas de tos coincidieron con la temporada de influenza, la diarrea es un síntoma específico de Covid-19.
El estudio titulado “Analysis of hospital traffic and search engine data in Wuhan China indicates early disease activity in the Fall of 2019”, recoge en su resumen lo siguiente.
“La pandemia global de COVID-19 se relacionó originalmente con un evento de propagación zoonótica en el mercado de mariscos Huanan de Wuhan en noviembre o diciembre de 2019. Sin embargo, la evidencia reciente sugiere que el virus puede haber estado circulando antes del brote. Empleando flujos de datos previamente validados (imágenes de satelite de los estacionamientos de hospitales y consultas de búsqueda de Baidu sobre términos relacionados con enfermedades) para investigar esta posibilidad. Observamos una tendencia al alza en el tráfico hospitalario y el volumen de búsqueda que comienza a fines del verano y principios del otoño de 2019. Si bien las consultas sobre los síntomas respiratorios «tos» muestran fluctuaciones estacionales que coinciden con las temporadas anuales de influenza, la «diarrea» es un síntoma más específico de COVID-19 y solo muestra una asociación con la epidemia actual. El aumento de ambas señales precede al inicio documentado de la pandemia COVID-19 en diciembre, destacando el valor de las nuevas fuentes digitales para la vigilancia de los patógenos emergentes.”
La portavoz del Ministerio de Relaciones Exteriores de China, Hua Chunying, dijo que no había visto el estudio, pero rechazó sus conclusiones.
Los orígenes de Covid-19, que se detectó por primera vez en un grupo de casos asociados con el mercado de mariscos de Huanan a fines de diciembre, se ha convertido en una cuestión cada vez más delicada a medida que China rechaza las acusaciones de que se debe culpar por la pandemia, que ha matado a más de 400,000 personas alrededor del mundo.
Algunos científicos señalaron posibles debilidades en el estudio de Harvard, que es una preimpresión, por lo que no se ha sometido a una revisión por pares.
Los autores del estudio reconocieron que no podían confirmar si el aumento del volumen de vehículos estaba directamente relacionado con el nuevo virus. Wuhan habría entrado en la temporada de gripe. Varios médicos dijeron que en diciembre algunas escuelas habían cancelado las clases debido a la gripe.
Otras limitaciones incluyen la presencia de edificios altos, árboles y smog, lo que limita el número de imágenes de alta resolución que se pueden tomar. También hubo imágenes de archivo limitadas de Wuhan en años anteriores debido a una «falta de interés comercial».
El estudio afirma: “Nuestra evidencia respalda otro trabajo reciente que muestra que la emergencia ocurrió antes de la identificación en el mercado de mariscos de Huanan. Estos hallazgos también corroboran la hipótesis de que el virus surgió naturalmente en el sur de China y que potencialmente ya estaba circulando en el momento del brote de Wuhan «.
Juegos Mundiales Militares de 2019
Los Juegos Mundiales Militares de 2019, oficialmente conocidos como los 7.º Juegos Mundiales Militares CISM y comúnmente conocidos como Wuhan 2019, se llevaron a cabo del 18 al 27 de octubre de 2019 en Wuhan, provincia de Hubei, China.
El 13 de marzo China lanzó una teoría sobre los orígenes del coronavirus: era una enfermedad estadounidense que podría haber sido introducida por miembros del ejército de los Estados Unidos que visitaron Wuhan en octubre.mEl Ministerio de Relaciones Exteriores de China, acusó a los funcionarios estadounidenses de no revelar lo que saben sobre la enfermedad.
Varios atletas franceses creen que contrajeron coronavirus en los Juegos Militares Mundiales en Wuhan en octubre, 20 días antes del primer caso registrado en China. Varios atletas franceses que participaron en los Juegos Militares Mundiales del 18 al 27 de octubre desde entonces han descrito síntomas severos parecidos a la gripe durante el evento.
Varios deportistas españoles que participaron entre el 18 y el 27 de octubre en los Juegos Mundiales Militares de la ciudad china de Wuhan enfermaron con síntomas similares a la COVID-19 durante o después de ese evento deportivo, han explicado a Efe varias fuentes castrenses.
Al menos dos uniformados padecieron síntomas de gripe compatibles con el nuevo coronavirus durante su estancia en Wuhan y al menos otros dos mostraron dolencias nada más llegar a su destino en España, según el relato de fuentes directas e indirectas que han hablado bajo la condición de respetar su anonimato.
Dos deportistas cayeron enfermos durante su estancia en China tras «una semana y pico en el país», relata un testigo de los hechos, que explica que las molestias persistieron «durante tres o cuatro días».
El primero sufrió «problemas de garganta, como una gripe» y después su compañero de habitación estaba «malo, sudado, muy griposo (…) de moco y de pecho».
Ambos casos fueron tratados con amoxicilina, indica la misma fuente, mientras que otros deportistas apuntan a Efe que en sus disciplinas no hubo nadie con síntomas durante su estancia en Wuhan o al llegar a España y el Ministerio de Defensa afirma que no ha tenido conocimiento de ningún caso sospechoso.
A ninguno de los atletas consultados se les pasó por la cabeza a finales de octubre que aquello pudiera ser otra cosa que una gripe, ya que China sólo advirtió a la Organización Mundial de la Salud del descubrimiento de un nuevo tipo de coronavirus el 31 de diciembre, es decir, 65 días después de que se clausuraran los juegos.
La comitiva española destacada en los VII Juegos Mundiales Militares de Wuhan, en la que participaron cerca de 10.000 deportistas de más de un centenar de países, estaba formada por unas 170 personas entre atletas y técnicos.
Regresaron a España en los días posteriores a la clausura del evento el 27 de octubre, tanto en vuelos comerciales Wuhan-Pekín-Madrid como Wuhan-París-Madrid, y a ninguno de los cuatro casos citados ni a sus compañeros más cercanos se les hicieron pruebas posteriormente.
«Se lo tomaron como una infección de garganta o gripe y aquí, como ya estaban curados, nada de nada», indica un atleta sobre los dos que enfermaron en China, y apunta que a finales de 2019 uno de ellos sufrió una neumonía. «Estuvo muy malo», relata.
Además de los dos militares que enfermaron en la ciudad china, al menos otros dos de la Academia Básica del Aire de León presentaron síntomas compatibles con la COVID-19 al llegar a España, en noviembre, relata a Efe un compañero suyo y confirma otra fuente militar conocedora de estos casos.
En esa academia de León, a la que pertenecen más de 600 personas, hubo en enero un pico de casos de gripe que hizo que decenas de militares acudieran al médico. También se registró allí un caso de neumonía de un enfermo que ya había pasado la gripe, explica un militar.
Otro militar destinado en Andalucía que estuvo en Wuhan y no tuvo síntomas allí indica que en diciembre sufrió «una gripe muy fuerte» que le generó problemas respiratorios durante dos meses y de la que no se recuperó del todo hasta finales de abril.
Cuando se dio a conocer el virus con epicentro en Wuhan, explica este deportista a Efe, se consultó a su equipo si habían tenido alguna dolencia compatible y él dio cuenta de esa enfermedad.
Esta semana, después de que salieran a la luz síntomas en militares franceses que estuvieron en los juegos, jefes de equipos españoles participantes en Wuhan se han dirigido a sus deportistas para consultarles si mostraron indicios de haber sufrido la COVID-19.
Según fuentes del Ministerio de Defensa consultadas por Efe, este departamento no ha tenido conocimiento de que ninguno de los participantes en los juegos tuviera síntomas del nuevo coronavirus, por lo que se descartó la aplicación de cualquier tipo de verificación médica extraordinaria y los militares no han sido, por tanto, testados.
¿Cuántos muertos hubo realmente en China por COVID19?
No lo sabe nadie.
Su bajo número de fallecidos comparado con lo que está sucediendo en el resto del mundo es cuando menos sospechoso.
Según la revista TIME en un artículo del 3 de abril: «Las largas filas de familiares esperando a recoger los restos de los fallecidos sigue generando preguntas sobre la verdadera escala de víctimas de coronavirus en el epicentro del brote, renovando la presión sobre un gobierno chino que lucha por controlar su narrativa de contención.
A las familias de quienes fallecieron a causa del virus en Wuhan, donde “oficialmente” la enfermedad surgió por primera vez en diciembre, se les permitió recoger sus cenizas incineradas en ocho funerarias locales a partir de finales de Marzo. Mientras lo hacían, circulaban fotos en las redes sociales chinas de miles de urnas siendo transportadas a esos establecimientos.
En los exteriores de una casa funeraria, los camiones entregaron alrededor de 2.500 urnas tanto el miércoles como el jueves, según el medio de comunicación chino Caixin. Otra imagen publicada por Caixin mostró 3.500 urnas apiladas en el suelo en el interior. No está claro cuántas urnas se han llenado.
Las personas que contestaron el teléfono en seis de las ocho funerarias en Wuhan dijeron que no tenían datos sobre cuántas urnas esperaban ser recolectadas o que no estaban autorizados a revelar los números. Las llamadas no dieron datos sobre cuántas urnas permanecía a la espera de ser recogidas o respondían que no estaban autorizados a revelar los números. En otros dos las llamadas no fueron respondidas.
Algunas familias dijeron que se habían visto obligadas a esperar varias horas para recoger las cenizas. Las fotos circularon cuando las muertes masivas por el virus se dispararon en ciudades de todo occidente, incluidas Milán, Madrid y Nueva York, donde se estaban levantando hospitales de campaña para manejar el desbordamiento a medida que las infecciones mundiales se disparan.
Según cifras del gobierno chino, 2.548 personas en Wuhan murieron por el virus. El anuncio de que se establecería un confinamiento desde enero se produjo después de que China dijo que su recuento de nuevos casos había llegado a cero y lanzó una ofensiva diplomática a otros países afectados por el virus, enviando algunos de ellos suministros médicos.
Pero algunos en China se han mostrado escépticos sobre la precisión del recuento oficial, particularmente dado el sistema médico colapsado de Wuhan, los intentos de las autoridades de encubrir el brote en sus etapas iniciales y las múltiples revisiones de la forma en que se cuentan los casos oficiales. En las redes sociales se han exigido medidas disciplinarias contra los principales funcionarios de Wuhan.
Muchas personas que murieron tenían síntomas de Covid-19, pero no fueron evaluadas y fueron excluidas de la cuenta oficial del caso, según el medio Caixin. También hubo pacientes que murieron de otras enfermedades debido a la falta de un tratamiento adecuado cuando los hospitales se vieron colapsados al tratar a aquellos que tenían el coronavirus.
Según cálculos de Bloomberg, basados en datos de la agencia de asuntos civiles de la ciudad hubo 13.856 cremaciones en Wuhan en el cuarto trimestre de 2019. Eso fue 2,419 más bajo que en el cuarto trimestre de 2018.
Es posible que las familias de los fallecidos aún no puedan despedirse de sus seres queridos. El gobierno de Wuhan emitió una declaración el jueves que prohíbe a las personas en la ciudad realizar actividades de limpieza de tumbas hasta el 30 de abril, lo que significa que no podrán observar el tradicional Festival Ching Ming del 4 de abril o la limpieza de tumbas. Otras provincias, incluidas Guangxi y Zhejiang, también han anunciado restricciones similares.
Dos residentes de Wuhan que perdieron a sus familiares a causa del virus dijeron que se les informó que tenían que ser acompañados por sus empleadores o funcionarios de los comités de vecindario al recoger las urnas, probablemente como una medida para prevenir las reuniones públicas.
«El gobierno del distrito me dijo que esperara hasta que me avisaran cuándo podría recoger las cenizas de mi padre», dijo un residente de Wuhan con el nombre «Xue Zai Shou Zhong», publicado en Weibo. «Hay un orden establecido para la recolección de la urna».
Otro usuario de Weibo que usa el nombre Adagier dijo que perdió a su esposo por el coronavirus y que desde entonces la policía se comunicó con ella para advertirle que no fuera demasiado emocional y que dejara de publicar on line.
«Solo tengo una petición», escribió. «Quiero darle a mi esposo un entierro adecuado lo antes posible».
Fuentes:
Is China Ground Zero for a Future Pandemic? Smithsonian magazine 2017
As Coronavirus Fades in China, Nationalism and Xenophobia Flare
SARS-CoV-2 was already spreading in France in late December 2019
El nuevo coronavirus. 4 de marzo 2020.
Detectan que el 15 de enero ya había restos de coronavirus en las aguas residuales de Barcelona
Coronavirus: Fact-checking claims it might have started in August 2019
Coronavirus may have been in Wuhan in August, study suggests
SARS-CoV-2 Could Have Been in Wuhan Last Summer, According to Harvard Study
Satellite images and online searches indicate China had coronavirus in the fall, Harvard study finds
China, Scientists Dismiss Harvard Study Suggesting COVID-19 Was Spreading in Wuhan in August
China Spins Tale That the U.S. Army Started the Coronavirus Epidemic
Juegos Mundiales Militares Wuhan de 2019
Varios españoles enfermaron en los juegos militares de Wuhan y a su regreso
Did Military athletes catch Covid-19 in Wuhan in OCTOBER?
Report of Urns Stacked at Wuhan Funeral Homes Raises Questions About the Real Coronavirus Death Toll in China. TIME Magazine












