![]()
La enfermedades de los moluscos bivalvos
En la Unión Europea, España es líder en la producción tanto de ostra plana, Ostrea edulis, como de mejillón, M. galloprovincialis, con un 32 % y un 42 % respectivamente de la producción europea. Galicia es la Comunidad Autónoma con mayor importancia, ya que en dicha comunidad se concentra el 90% del total de la producción nacional de moluscos bivalvos basado principalmente en el cultivo de mejillón, M. galloprovincialis.

Uno de los principales retos a los que se enfrenta la producción de moluscos bivalvos es la prevención y el control de las enfermedades. Aunque los cultivos extensivos, aquellos que mantienen una baja densidad de organismos en el cultivo, son menos susceptibles a las enfermedades, en ocasiones éstas se producen. Pero sobre todo los cultivos intensivos, con elevadas densidades de organismos, que en principio están orientados a generar un mayor beneficio económico, están mucho más expuestos a la aparición y desarrollo de diferentes enfermedades como consecuencia del aumento en las densidades y el estrés generado que facilita la transmisión del agente patógeno. El control de las enfermedades en las explotaciones acuícolas es obviamente crítico, ya que de poco sirve una especie de buen crecimiento o alto valor comercial si esta especie se muere o desarrolla malformaciones como consecuencia de una enfermedad que limite su comercialización. Estas enfermedades en ocasiones pueden producir pérdidas recurrentes, debido a condiciones ambientales estacionales o a la superación de un umbral de estrés en los hospedadores. Conocer el desarrollo de la enfermedad, así como un rápido diagnóstico de la misma es vital en la producción acuícola.
La identificación y estudio del desarrollo de la enfermedad puede ayudar a controlar la dispersión de la misma, limitando las pérdidas debidas a mortalidad o morbilidad puesto que en determinadas situaciones, el desarrollo de una enfermedad que no mata al hospedador puede originar la pérdida de valor comercial del mismo como consecuencia de las malformaciones producidas.
En ocasiones, la aparición de una enfermedad en un cultivo es posterior a la importación de animales procedentes de otro lugar del mundo, bien como consecuencia de intentos de restaurar un cultivo disminuido por una enfermedad o bien como consecuencia de introducir una especie nueva de elevado interés comercial y rápido crecimiento que mejore las características biológicas de las especies autóctonas. Un claro ejemplo de este último suceso fue la introducción del parásito Perkinsus olseni en las costas gallegas junto con ejemplares de almeja japonesa, Ruditapes phillipinarum, de valor comercial algo menor que la autóctona almeja fina, Ruditapes decussatus, pero de mayor resistencia y superior tasa de crecimiento, o la introducción del patógeno Candidatus Xenohaliotis californiensis mediante la importación de semillas de oreja de mar, Haliotis tuberculata, de hatcheries irlandesas. Este patógeno era considerado hasta este momento como exótico a la Unión Europea.
Aunque en los últimos años se ha incrementando el esfuerzo en los estudios de enfermedades de bivalvos, quedan por resolver una serie de asuntos tales como la validación de los nuevos métodos de diagnóstico, la patogenicidad de los nuevos posibles patógenos identificados, las tasas reales de mortalidad en los cultivos de moluscos, programas de selección de resistencia o el efecto de los patógenos en el sistema inmune de los bivalvos. La investigación multidisciplinar transnacional puede ayudar a resolver muchas de estas cuestiones todavía por resolver.
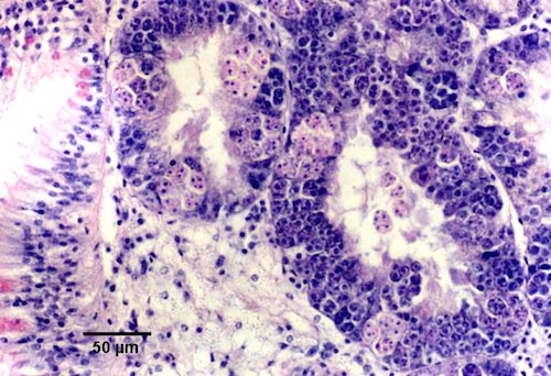
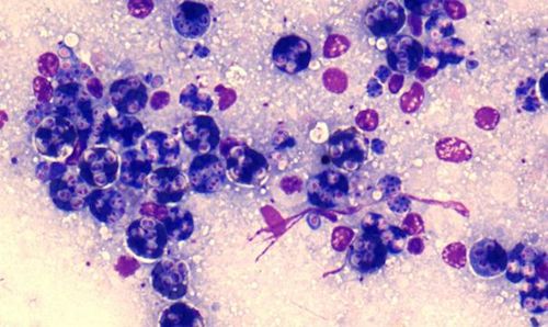
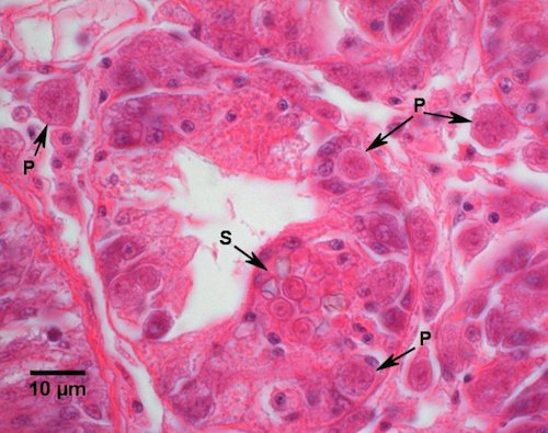
Fotos de histología tomadas de



El guión de la película Los Pájaros de Hitchcock está basada en un fenómeno registrado no pocas ocasiones en varios puntos de las costas del mundo por la ingestión de moluscos marinos en mal estad tal vez por alguna toxina (no tengo más información) principalmente por aves marinas, provocando extraños comportamientos e incluso la muerte.