Estudios interdisciplinares para el mejor conocimiento de la tecnología de elaboración de morteros romanos

10.11.2017
El grupo de investigación <a href="http://www.conservacionpatrimonio.es/" title="grupo de investigación Petrología Aplicada a la Conservación del Patrimonio del Instituto de Geociencias IGEO" alt="grupo de investigación Petrología Aplicada a la Conservación del Patrimonio del Instituto de Geociencias IGEO" target="_blank">Petrología Aplicada a la Conservación del Patrimonio</a> del <a href="https://igeo.ucm-csic.es/" title="Instituto de Geociencias IGEO (CSIC, UCM)" alt="Instituto de Geociencias IGEO (CSIC, UCM)" target="_blank">Instituto de Geociencias</a> IGEO (CSIC, UCM), en colaboración con la dirección técnica del <a href="https://www.comunidad.madrid/" title="Yacimiento de Complutum" alt="Yacimiento de Complutum" target="_blank">Yacimiento de Complutum</a> en Alcalá de Henares, ha llevado a cabo un estudio de los morteros romanos utilizados en diferentes construcciones del yacimiento.

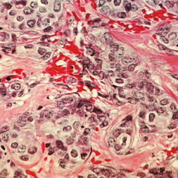
Utilizan fármacos unidos a nanopartículas para destruir células madre tumorales causantes de la recaída del cáncer de mama

10.11.2017
Investigadores de la <a href="https://www.ugr.es/" title="Universidad de Granada" alt="Universidad de Granada" target="_blank">Universidad de Granada</a> (UGR) y de la <a href="https://www.uma.es/" title="Universidad de Málaga" alt="Universidad de Málaga" target="_blank">Universidad de Málaga</a> (UMA) han conseguido transportar el fármaco denominado paclitaxel en nanopartículas de tripalmitina y aumentar su efecto antitumoral sobre las células madre del cáncer de mama que son responsables de la resistencia al tratamiento.

El reloj biológico marca el tiempo de regeneración de la piel

10.11.2017
Un grupo de científicos ha establecido una relación directa entre el conocido como reloj biológico y la velocidad con la que el cuerpo humano es capaz de cicatrizar sus heridas, según un artículo divulgado por la revista <a href="https://www.science.org/doi/10.1126/scitranslmed.aal2774" title="Science Translational Medicine" alt="Science Translational Medicine" target="_blank">Science Translational Medicine</a>.

Una deficiencia en el metabolismo de las hormonas tiroideas puede derivar en trastornos emocionales

10.11.2017
Las hormonas tiroideas son esenciales para el correcto desarrollo y función del cerebro. En este tejido, la actividad de la proteína 'desyodasa tipo 2' es fundamental para proporcionar unos niveles cerebrales apropiados de hormona tiroidea. Un estudio del <a href="https://www.iib.uam.es/portal/" title="Instituto de Investigaciones Biomédicas Alberto Sols" alt="Instituto de Investigaciones Biomédicas Alberto Sols" target="_blank">Instituto de Investigaciones Biomédicas Alberto Sols</a>, en el que participan investigadores del <a href="https://www.csic.es/es" title="Consejo Superior de Investigaciones Científicas (CSIC)" alt="Consejo Superior de Investigaciones Científicas (CSIC)" target="_blank">Consejo Superior de Investigaciones Científicas</a> (CSIC), la <a href="http://www.uam.es/UAM/Home.htm?language=es" title="Universidad Autónoma de Madrid (UAM)" alt="Universidad Autónoma de Madrid (UAM)" target="_blank">Universidad Autónoma de Madrid</a> (UAM) y la <a href="http://portal.uned.es/portal/page?_pageid=93,1&amp;_dad=portal&amp;_schema=PORTAL" title="Universidad Nacional de Educación a Distancia (UNED)" alt="Universidad Nacional de Educación a Distancia (UNED)" target="_blank">Universidad Nacional de Educación a Distancia</a> (UNED), ha observado en ratones que la ausencia de esta proteína desencadena trastornos emocionales derivados probablemente de un estado de hipotiroidismo cerebral.

Herramientas novedosas para analizar la radiación cerca de los agujeros negros

10.11.2017
Dado el estado actual del conocimiento y con los medios científicos disponibles, la comprensión de los agujeros negros astrofísicos requiere indefectiblemente estudios detallados de los elementos observables que los rodean. El proyecto <a href="http://stronggravity.eu/" alt="Probing Strong Gravity by Black Holes Across the Range of Masses" title="Probing Strong Gravity by Black Holes Across the Range of Masses" target="blank">Probing Strong Gravity by Black Holes Across the Range of Masses</a> (STRONGGRAVITY) ha desarrollado novedosas herramientas de análisis para conseguir precisamente eso, haciendo especial hincapié en la radiación.

El mensaje de la Voyager llega a oídos terrícolas

10.11.2017
A finales de 2017 saldrá a la venta una edición especial del <a href="https://es.wikipedia.org/wiki/Disco_de_oro_de_las_Voyager" title="Disco de oro de las Voyager, Wikipedia" alt="Disco de oro de las Voyager, Wikipedia" target="_blank">Disco Dorado</a>, el mensaje políglota enviado con las sondas <a href="https://voyager.jpl.nasa.gov/" title="Voyager" alt="Voyager" target="_blank">Voyager</a> para seres de otros mundos. De ese modo habrán sido los oídos terrícolas los primeros en escuchar los sonidos compilados por Carl Sagan hace 40 años. La próxima transmisión de un saludo similar en la misión <a href="http://pluto.jhuapl.edu/" title="New Horizons" alt="New Horizons" target="_blank">New Horizons</a> plantea una pregunta: ¿sus verdaderos destinatarios somos nosotros mismos?

Los niños prematuros tienen mayor riesgo de presentar dificultades cognitivas, motoras y de comportamiento

10.11.2017
Un estudio en el que han participado investigadores del <a href="https://www.irycis.org/" title="Instituto Ramón y Cajal de Investigación Sanitaria (IRYCIS)" alt="Instituto Ramón y Cajal de Investigación Sanitaria (IRYCIS)" target="_blank">Instituto Ramón y Cajal de Investigación Sanitaria</a> (IRYCIS) en el <a href="https://www.comunidad.madrid/hospital/ramonycajal/" title="Hospital Ramón y Cajal" alt="Hospital Ramón y Cajal" target="_blank">Hospital Ramón y Cajal</a> y del <a href="https://www.ciberesp.es/" title="Consorcio de Investigación Biomédica en Red de Epidemiología y Salud Pública (CIBERESP)" alt="Consorcio de Investigación Biomédica en Red de Epidemiología y Salud Pública (CIBERESP)" target="_blank">Centro de Investigación Biomédica en Red de Epidemiología y Salud Pública</a> (CIBERESP) junto a un numeroso equipo internacional de investigadores, ha analizado las evidencias disponibles para relacionar la edad gestacional al parto con el desarrollo neurológico en la infancia y adolescencia.

Nuevas tecnologías para un turismo sostenible

10.11.2017
Durante la <a href="/semanacienciaeinnovacion//" title="Semana de la Ciencia de Madrid 2017" alt="Semana de la Ciencia de Madrid 2017" target="_blank">Semana de la Ciencia de Madrid</a> 2017, la <a href="http://www.urjc.es/" title="Universidad Rey Juan Carlos (URJC)" alt="Universidad Rey Juan Carlos (URJC)" target="_blank">Universidad Rey Juan Carlos</a> (URJC) organizará dos itinerarios didácticos, uno en Aranjuez y otro en El Pardo, en los que se utilizarán herramientas de realidad aumentada para mostrar cómo las nuevas tecnologías han ayudado al impulso de estos Reales Sitios como destinos de turismo sostenible.