![]()
El sistema inmunitario puede detectar la perdida de la forma polarizada en células epiteliales enfermas
Los organismos complejos contienen distintas poblaciones de células que realizan funciones especializadas. Dichas funciones dependen en gran medida de la forma que adoptan esas células dentro del tejido.
Las células epiteliales realizan funciones fundamentales de absorción, secreción y barrera en los tejidos esenciales para el ser humano. Para que las células epiteliales sanas realicen correctamente estas tareas tienen que adoptar una forma o morfología particular que se denomina polarizada. Las células epiteliales que se polarizan, establecen una dominio apical que se orienta hacia el exterior o hacia la luz de las cavidades del tejido; y un dominio basolateral, que se orienta hacia el interior del tejido y está en contacto con los vasos sanguíneos y otras células, incluidas las células del sistema inmunitario que patrullan en el interior de los órganos de forma permanente.

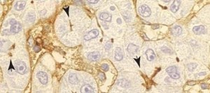
y funcionales. Inmunohistoquímica de un hígado infectado con el virus de la hepatitis C
Una característica común en las patologías epiteliales, tales como el cáncer, las infecciones víricas o las enfermedades autoinmunes, es que las células epiteliales enfermas pierden su forma. Utilizando células epiteliales hepáticas como modelo, el grupo de biología celular de la inflamación del CBMSO (CSIC-UAM) ha comprobado que el grado de polarización apicobasal de estas células regula su capacidad para interaccionar con células del sistema inmunitario. Esto ocurre porque las células hepáticas polarizadas segregan en su dominio apical, menos accesible a las células del sistema inmunitario, el receptor ICAM-1, que es el principal mediador de la adhesión linfocitaria.
Según Jaime Millán, científico del CSIC y director el estudio, y Natalia Reglero-Real, primera firmante del artículo, cuando las células epiteliales hepáticas pierden su forma, ICAM-1 se dispersa del dominio apical y se expone a otras células, favoreciendo la adhesión de los linfocitos. Al contrario, cuando se incrementa farmacológicamente la polarización de estas células, ICAM-1 se confina en el dominio, y la adhesión de los linfocitos T disminuye. Este fenómeno de polarización y despolarización de ICAM-1 se ha observado en muestras de hígado de pacientes con infecciones de hepatitis B y C y en hígados trasplantados que han sufrido un rechazo inmunitario.
Por tanto, los linfocitos “ven” preferentemente en el tejido las células epiteliales despolarizadas. Esto supone un nuevo mecanismo del tejido para ayudar al sistema inmunitario a discriminar entre las células enfermas, que deben ser eliminadas, y aquellas que permanecen todavía sanas y polarizadas. La modulación de la polaridad apicobasal del epitelio hepático podría suponer, por tanto, una nueva ventana terapéutica para controlar la respuesta inmunitaria en el hígado y, probablemente, en otros órganos que contengan epitelios polarizados».
DIVULGACIÓN CIENTÍFICA DEL 06 DE OCTUBRE DE 2014
José Antonio López revisa la actualidad científica hablando de la Competición innoSmart, que comenzará el 15 de octubre. El proyecto innoSmart quiere favorecer qué iniciativas creativas procedentes de distintos ámbitos se consoliden en proyectos empresariales sólidos y viables. En el siguiente tema JAL habla de los Premios de la Fundación para el Conocimiento madri+d, que apuesta por la investigación, la transferencia de conocimiento, la cooperación internacional y la comunicación científica. Los objetivos de estos Premios son aportar soluciones a retos científico-tecnológicos, iniciativas empresariales, liderazgo internacional y divulgación de la ciencia. Para finalizar José Antonio habla de la investigación de la UPM, en la que se ha logrado aumentar la producción en especies leñosas, aportando un gran interés en el sector energético.
MADRI+D TV (Divulgación científica con cara, e imágenes, en 3 minutos
)
ENTRE PROBETAS (Píldoras científicas en 2 minutos). Radio 5
EUREKA Radio Exterior de España
FACEBOOK (José Antonio López-Guerrero)
FACEBOOK (Departamento de Cultura Científica -Centro de Biología Molecular)
TWITTER (JALGUERRERO)
TWITTER (DCCientificaCBM)
LINKED-IN (Jal Guerrero)