Skip to main content
Home
  • ESPAÑOL
  • ENGLISH
Main menu
  • Foundation
    • A place for education, science and innovation
    • Who we are
    • Newsroom
    • Awards madri+d
    • Premios de Ciencia en Español
    • Publications madri+d
    • Contractor Portal
    • Compendio legislativo
    • Formación
    • Contacto
    • Tablón de Anuncios
    • Panorama de la innovación por sectores y tecnologías
  • University Quality Assurance
    • To guarantee the quality of university education in the Community of Madrid
    • About us
    • Evaluation, Acreditation and Verification
    • Evaluación, Acreditación y Verificación de Centros Universitarios
    • Comité de garantías y reclamaciones
    • Buscador de títulos
    • Banco de evaluadores
    • ENQA Evaluation
    • Análisis Temático
    • CUALIFICAM
    • Sello Sofía
    • Buzón de Quejas, Sugerencias y Felicitaciones
  • Entrepreneurs
    • We help you to undertake from science and technology
    • About us
    • Startup Radar madri+d
    • BAN madri+d
    • Madri+d Mentoring Network
    • ESA BIC Madrid Region
    • healthStart madri+d
    • Business Mentor madri+d
    • Studies
    • healthstartPlus
    • Deeptech Madrid
    • Govtechlab Madrid
    • Innodays/Innobares
  • CITT
    • Clústeres público-privados de Innovación Tecnológica y Talento de la Comunidad de Madrid
    • Presentación CITT
    • CITT en Semiconductores
    • CITT en Humanidades Digitales y Tecnologías del Español
    • CITT en Tecnologías Biomédicas y Biotecnología
    • CITT en Tecnologías del Espacio
  • Europe
    • Researching locally to compete globally
    • Presentación
    • Horizonte Europa
    • Marie Sklodowska-Curie Actions
    • European Research Council
    • EIC
    • EEN SCALEUP 2025/2026
    • Enterprise Europe Network
    • Innovación
    • madri+d Foundation Projects
  • Scientific-Culture
    • Promoting scientific culture and innovation in society through active participation
    • Feria Madrid es Ciencia
    • Día Internacional de las Mujeres y las Niñas en la Ciencia
    • Madrid Science Week
    • European Researchers' Night
    • Red de Laboratorios Ciudadanos
    • Wikipedia madri+d
    • Science & Culture
    • Science & Heritage
    • Cátedra del Español y la Hispanidad de las universidades de la Comunidad de Madrid
  • Notiweb
    • El resumen de noticias de I+D+I de referencia en español
    • Portada
    • Noticias
    • Analisis
    • Entrevistas
    • Blogs
    • Agenda
    • Reseñas
    • Magazine
    • Hemeroteca Magazine
    • Mentes Críticas
    • Hemeroteca Mentes Críticas
  • Transparency
    • Transparency portal
    • Institutional information
    • Legal Information
    • Economic and Statistical Information
    • Proteccion de Datos Personales
    • Canal Ético

Secondary breadcrumb

Breadcrumb

  1. Inicio
  2. Noticias
Main menu
Noticias RSS

La historia evolutiva de perros y humanos no siempre ha ido de la mano

31.10.2020
La secuenciación de ADN de 27 perros antiguos revela que hace 11.000 años ya existían cinco linajes distintos de canes que se habían diversificado y expandido por el mundo

Un estudio constata la urgencia de recuperar un 20% de los hábitats autóctonos en zonas agrícolas

30.10.2020
El trabajo, en el que participa el CSIC, destaca la importancia de proteger los hábitats nativos para reducir el impacto de actividades productivas sobre la biodiversidad del planeta

Avance en el conocimiento de las bases moleculares que regulan la actividad de los linfocitos T

30.10.2020
Los resultados permitirán desarrollar nuevas estrategias con posible interés terapéutico frente a virus y bacterias

"Nos estamos quedando sin noche": el peligro de la creciente luz artificial nocturna

30.10.2020
Afecta a la flora, la fauna y al bienestar humano y está creciendo en casi todas las partes del planeta

Los misteriosos denisovanos llegaron hasta el Tíbet

30.10.2020
ADN hallado en la meseta tibetana confirma que estos parientes de los neandertales se extendieron por Asia

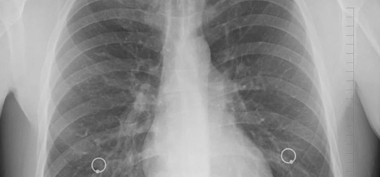
El plasma convaleciente, la esperanza para tratar a los niños con Covid-19

30.10.2020
Los menores de 15 años son ya el 12,4% de los infectados en la segunda ola de la pandemia en España

Detectan un planeta de tamaño terrestre que no orbita en torno a una estrella

30.10.2020
Los modelos físicos predicen que se trata de un cuerpo de un tamaño entre el de la Tierra y el de Marte

Una nueva variante del coronavirus detectada en junio en España ya es una de las más frecuentes en Europa

30.10.2020
El virus mutado, sin pruebas de que sea más transmisible o virulento, triunfó gracias a los brotes masivos entre trabajadores agrícolas en Huesca y Lleida

La consciencia sería el campo electromagnético del cerebro

30.10.2020
La energía electromagnética que actúa en el cerebro hace posible que la materia cerebral desarrolle la consciencia humana y nuestra propia capacidad de ser conscientes, ejercer el libre albedrío y realizar acciones voluntarias

Así logra el pulpo saborear algo con solo tocarlo

30.10.2020
¿Te imaginas poder probar una cosa con un solo toque? Eso es justamente lo que hace el cefalópodo con las ventosas de sus ocho brazos

Pagination

  • First page « primera
  • Previous page ‹ anterior
  • …
  • Page 600
  • Page 601
  • Page 602
  • Page 603
  • Current page 604
  • Page 605
  • Page 606
  • Page 607
  • Page 608
  • …
  • Next page siguiente ›
  • Last page última »
Resultados del 6031 al 6040 de 13865
  • Foundation
    • Who we are
    • Newsroom
    • Awards madri+d
    • Premios de Ciencia en Español
    • Publications madri+d
    • Contractor Portal
    • Compendio legislativo
    • Formación
    • Contacto
    • Tablón de Anuncios
    • Panorama de la innovación por sectores y tecnologías
  • University Quality Assurance
    • About us
    • Evaluation, Acreditation and Verification
    • Evaluación, Acreditación y Verificación de Centros Universitarios
    • Comité de garantías y reclamaciones
    • Buscador de títulos
    • Banco de evaluadores
    • ENQA Evaluation
    • Análisis Temático
    • CUALIFICAM
    • Sello Sofía
    • Buzón de Quejas, Sugerencias y Felicitaciones
  • Entrepreneurs
    • About us
    • Startup Radar madri+d
    • BAN madri+d
    • Madri+d Mentoring Network
    • ESA BIC Madrid Region
    • healthStart madri+d
    • Business Mentor madri+d
    • Studies
    • healthstartPlus
    • Deeptech Madrid
    • Govtechlab Madrid
    • Innodays/Innobares
  • CITT
    • Presentación CITT
    • CITT en Semiconductores
    • CITT en Humanidades Digitales y Tecnologías del Español
    • CITT en Tecnologías Biomédicas y Biotecnología
    • CITT en Tecnologías del Espacio
  • Europe
    • Presentación
    • Horizonte Europa
    • Marie Sklodowska-Curie Actions
    • European Research Council
    • EIC
    • Enterprise Europe Network
    • EEN SCALEUP 2025/2026
    • Innovación
    • madri+d Foundation Projects
  • Scientific-Culture
    • Feria Madrid es Ciencia
    • Día Internacional de las Mujeres y las Niñas en la Ciencia
    • Madrid Science Week
    • European Researchers' Night
    • Red de Laboratorios Ciudadanos
    • Wikipedia madri+d
    • Science & Culture
    • Science & Heritage
    • Cátedra del Español y la Hispanidad de las universidades de la Comunidad de Madrid
  • Notiweb
    • Portada
    • Noticias
    • Analisis
    • Entrevistas
    • Blogs
    • Agenda
    • Reseñas
    • Magazine
    • Hemeroteca Magazine
    • Mentes Críticas
    • Hemeroteca Mentes Críticas
  • Transparency
    • Institutional information
    • Legal Information
    • Economic and Statistical Information
    • Proteccion de Datos Personales
    • Canal Ético
  • Footer
    • Canal Ético
    • eduroam
    • Mapa Web
    • Política privacidad
    • Política de cookies
    • Aviso legal