¿Influye la morfología urbana en los niveles de ruido provocados por los aviones?

22.01.2018
Investigadores de la <a href="https://www.upm.es/" title="Universidad Politécnica de Madrid" alt="Universidad Politécnica de Madrid" target="_blank">Universidad Politécnica de Madrid</a> (UPM) y del <a href="http://www.area.pi.cnr.it/" title="Consiglio Nazionale Delle Ricerche" alt="Consiglio Nazionale Delle Ricerche" target="_blank">Consiglio Nazionale Delle Ricerche</a> (CNR) de Pisa estudian la influencia de la morfología urbana en la propagación del ruido de los aviones.

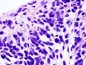
Las células del melanoma son adictas a la proteína LOXL3

22.01.2018
Científicos de la <a href="http://www.uam.es/UAM/Home.htm?language=es" title="Universidad Autónoma de Madrid" alt="Universidad Autónoma de Madrid" target="_blank">Universidad Autónoma de Madrid</a> (UAM) han demostrado que las células de melanoma son incapaces de sobrevivir cuando se les suprime la proteína LOXL3. Puesto que el melanoma es un tipo de cáncer incurable si no se detecta en etapas iniciales, este hallazgo incentiva el desarrollo de terapias anti-melanoma basadas en la eliminación de LOXL3.

Elemental... Mi querida inteligencia artificial

22.01.2018
La misma inteligencia artificial que ya emplean los astronautas de la Estación Espacial Internacional ofrece un enfoque prometedor para la resolución de delitos. En una era donde la seguridad preocupa en toda Europa, el uso inteligente de datos policiales es clave para descubrir pistas.

La genética vegetal, especialidad en auge

22.01.2018
La genética vegetal es una especialidad en auge que mejorará las producciones agrícolas y garantizará la seguridad alimentaria en un contexto de cambio climático, por eso la <a href="https://www.upv.es" title="Universidad Politécnica de Valencia" alt="Universidad Politécnica de Valencia" target="_blank">Universidad Politécnica de Valencia</a> (UPV) quiere potenciarla.

La báscula que pesa una célula viva

22.01.2018
Investigadores de la <a href="https://ethz.ch/en.html" title="Escuela Politécnica Federal de Zúrich" alt="Escuela Politécnica Federal de Zúrich" target="_blank">Escuela Politécnica Federal de Zúrich</a>, liderados por un biofísico español, han fabricado un dispositivo para medir el peso de células vivas individuales y monitorizar en tiempo real cómo va variando. Además de sus posibles aplicaciones en biomedicina, el avance ha permitido descubrir que las células están constantemente modificando su masa.

Lenta y casi agónica, así fue la extinción de los neandertales

22.01.2018
La extinción de los neandertales fue un proceso lento y casi agónico, un fenómeno multicausal que probablemente ya se había iniciado antes de la llegada a Europa de los humanos modernos que, no obstante, dinamitó esta tendencia y aceleró su declive hasta la desaparición hace unos 38.000 años.

"Aplicamos la tecnología que usa Amazon contra el cáncer de mama"

22.01.2018
Entrevista a Regina Barzilay. Profesora del <a href="https://www.csail.mit.edu/" title="Laboratorio de Ciencias de la Computación MIT" alt="Laboratorio de Ciencias de la Computación MIT" target="_blank">Laboratorio de Ciencias de la Computación</a> e Inteligencia Artificial del Instituto Tecnológico de Massachusetts (MIT).

La Fundación para el Conocimiento madri+d y HM Hospitales inician una colaboración al servicio de los ciudadanos madrileños

22.01.2018
La <a href="https://www.madrimasd.org/" title="Fundación para el Conocimiento madri+d" alt="Fundación para el Conocimiento madri+d" target="_blank">Fundación para el Conocimiento madri+d</a> y <a href="https://www.hmhospitales.com/" title="HM Hospitales" alt="HM Hospitales" target="_blank">HM Hospitales</a> se han reunido en la sede de la Fundación madri+d para explorar formas de colaboración en temas de interés común al servicio de los ciudadanos madrileños.