![]()
Evolución: Los cotiledones
11. Estos primeros órganos se conocen con el nombre de cotiledones. Se les ha llamado también cáscaras o folículos de semilla y hojas seminales, para denominar las diversas formas en que los percibimos.
12. A menudo aparecen amorfos, de cierto modo embutidos en una materia cruda que se extiende por igual a lo largo como a lo ancho; no se distinguen sus vasos, apenas se diferencian de la masa total; no tienen casi nada de parecido con una hoja, y pudiéramos estar tentados de tomarlos por órganos particulares
Fragmento de La Metamorfosis de las Plantas de Johann Wolfgang von Goethe.
Tomado de la edición: La Metamorfosis de las Plantas. Afinidades. Asociación Valle Inclán Elkartea. Universidad del Pais Vasco.
***************************************************************************************
11. Es sind diese ersten Organe unter dem Namen Kotyledonen bekannt; man hat sie auch Samenklappen, Kern stocke, Samenlappen, Samenblätter genannt, und so die verschiedenen Gestalten, in denen wir sie gewahr werden zu bezeichnen gesucht.
12. Sie erscheinen oft unförmlich, mit einer rohen Materie gleichsam ausgestopft, und ebenso sehr in die Dicke als in die Breite ausgedehnt; ihre Gefäße sind unkenntlich und von der Masse des Ganzen kaum zu unterscheiden; haben fast nichts Ähnliches von einem Blatte, und wir können verleitet werden, sie für besondere Organe anzusehen.
Johann Wolfgang von Goethe. Die Metamorphose der Pflanzen (1790). Versión en alemán de Zeno.org
Imágenes: Semilla de guisante mostrando los cotiledones de The seed biology place
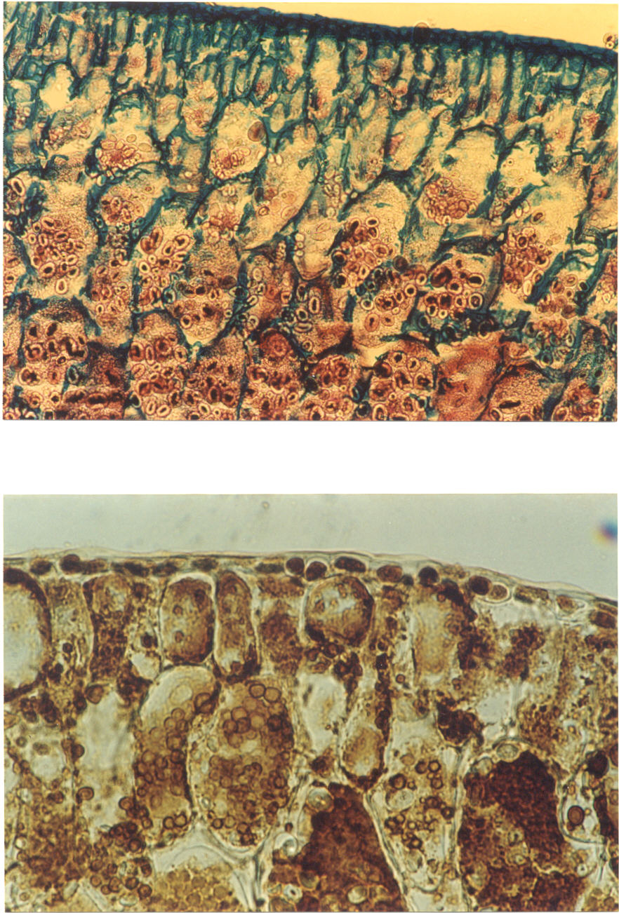
Cortes de cotiledones de garbanzo: Arriba, tinción con FASGA. Abajo, marcado con anticuerpos anti-proteasas. Imágenes obtenidas con la ayuda de Óscar Hita Urdain.
